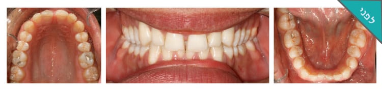
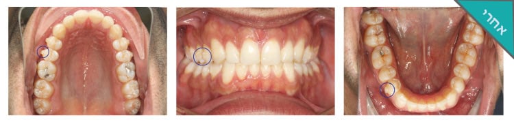
יישור שיניים שקוף לפני ואחרי
תיאור מקרה סטנדרטי שבוצע ע״י אורתודונט מומחה לתיקון רווחים, שיניים מסובבות וצפיפות שיניים באמצעות יישור שיניים שקוף - מצורפות מטה תמונות לפני ואחרי של מטופל בשם א.ב שעבר יישור שיניים שקוף באמצעות קשתיות איירוק במרפאתו של ד״ר הרצל מיכאל - אורתודונט מומחה ליישור שיניים ולסתות הפעיל בישראל כבר כמה עשרות שנים, המתמחה בשיטת איירוק המעולה.
המקרה שנבחר הוא קלאסי וכולל את כל הבעיות והליקויים השכיחים ביותר ביישור שיניים כגון: רווחים בלסת עליונה עם הבדלי גובה ושיניים מסובבות ואילו בלסת תחתונה צפיפות שיניים המשולבת בדומה ללסת העליונה בשיניים מסובבות.
התמונות שצולמו, מתארות את המצב הראשוני לפני התחלת הטיפול וכוללות גם את ההדמיה התלת מימדית החופפת לתמונות הראשוניות. התמונות אחרי הטיפול האורתודונטי באמצעות קשתיות איירוק מדגימות את התוצאה הסופית שהושגה ואשר תואמת להדמיה שהוצגה למטופל לפני שהטיפול החל.
ניתן להבחין שתוכנית הטיפול ליישור שיניים שקוף בוצעה על פי ההדמיה התלת מימדית באופן מדויק עם תוצאה מושלמת. משך זמן הטיפול שבוצע למופל היה שנה בלבד ותוצאת ההליך כפי שניתן לראות בבירור בתמונות היו ללא הפתעות כאשר הכל היה ידוע וצפוי מראש ובהתאם לציפיות של המטופל.





